حتما شما هم اصطلاح دندان های میسینگ یا دندان های غایب را شنیده اید. برخی از افراد برعکس این حالت، گاهی دندان اضافه دارند که وجود آن ها مثل عدم حضور دندان های غایب باعث ایجاد اختلال هایی می شود. در حقیقت هنگامی که دندان ها بیش از تعداد استاندارد خود در دهان حضور دارند به عنوان دندان های غیر عادی محسوب شده و این حالت به عنوان hyperdontia یا دندان اضافی شناخته می شود. فقط یک تا چهار درصد جمعیت در جهان مبتلا به این عارضه هستند.از آنجاییکه دندان اضافه می تواند باعث تداخل در رویش سایر دندان ها گردد می بایست آن را از دهان خارج کرد.گرچه hyperdontia تنها بخش کوچکی از جمعیت را تحت تاثیر قرار داده، آقایان دو برابر بیشتر از بانوان دچار ابتلا به حضور دندان اضافی می شوند. کسانی که بیشتر در معرض خطر قرار دارند، بیماران متولد شده با شکاف لب یا کام هستند. بیماران مبتلا به سندرم Ehler-Danlos یا سندرم گاردنر نیز بیش از دیگران در معرض خطر ابتلا به دندان اضافی خواهند بود.
از آنجا که وجود دندان اضافی در دهان عوارض زیادی با خود به همراه دارد، در صورت نیاز خارج کردن و درمان آن ها به همه بیماران توصیه می شود. مهم است که آن ها این کار را در اسرع وقت برای جلوگیری از عوارض جدی انجام دهند. دکتر در ابتدا ممکن است یک معاینه فیزیکی انجام دهد تا بتواند به خوبی تشخیص دهد که آیا به جراحی نیاز است یا خیر؟
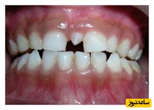
احتمالا این سوال برای شما هم پیش آمده که آیا می شود از دندان اضافه به جای دندان اصلی استفاده کرد و در عین حال عارضه به وجود آمده را نیز اصلاح کرد؟ بستگی دارد که دندان اضافه کجا قرار گرفته باشد. گاهی دندان اضافه بین دو تا دندان های جلوی بیمار قرار گرفته و یک دندان تک بوده و زوج نیست. در نتیجه کلا قیافه فرد را بهم می ریزد و باید کشیده شود. اما گاهی دندان اضافه در انتها وجود دارد و اگر بیمار دندان دائم قبلی را کشیده باشد در اینصورت ما می توانیم از آن استفاده کنیم و جای دندان اصلی قرارش دهیم.
در حالت نرمال تعداد دندان ها در فک بالا و پایین باید با همدیگر مچ باشند. اگر ما در یک فک یک دندان اضافی داشته باشیم نمی توانیم آن ها را با هم هماهنگ کنیم. زمانی می توانیم در فک دندان اضافی بین دندان های کرسی را نکشیم و با ارتودنسی آن را در میان دندان ها جا بیندازیم که در فک مورد نظر، یکی از دندان ها به علت شکستگی افتاده باشد یا کشیده شده باشد و ما دندان اضافه را جایگزین آن نماییم. در نتیجه همانطور که کم بودن دندان ها معضل است اضافه بودن آن ها نیز می تواند معضل باشد.
مشکلات دندان اضافی چیست؟
مشکلات زیبایی و عملکردی: بیرون زدن دندان اضافی در دندان های جلویی زیبایی فرد را به خطر می اندازد و جلوه خوبی برای ببیننده ندارد. اما در اصل مشکلات بالینی برای فرد به وجود می آورد که با کشیدن دندان بر طرف می شود.
بهم ریختگی و شلوغی دندان ها: با رویش دندان اضافی ممکن است دندان های مجاور کامل رشد نکنند و بهم ریختگی و نامرتبی دندان ها را در پی داشته باشد. در صورت عدم رسیدگی به موقع، در آینده برای رفع این مشکل باید ارتودنسی انجام دهید.
ایجاد کیست یا تومور: رویش دندان اضافی را باید جدی بگیرید.در صورت عدم درمان، ممکن است از بوجود آمدن ایجاد کیست یا تومور در لثه ها اذیت شوید.
کج شدن و عدم بیرون زدن دندان های نرمال: گاهی با رویش دندان های اضافی به دیگر دندان ها فشار وارد می کنند و موجب کج شدگی آن ها می شود که در این صورت غذا خوردن را سخت تر می کند. در برخی موارد نیز ممکن است رویش دندان های اضافی موجب شود تا با دندان های عادی جوش بخورد که در نهایت سبب تجزیه و پوسیدگی قرار بگیرند.

درمان مزیودنس
دندان مزیودنس مکمل یا سپلمنتاری
از آنجایی که دندان مکمل معمولا شکل و اندازه مشابه دندانهای طبیعی دیگر دارد و از طرفی بسیاری از کودکان کم سن به دندانپزشک نشان داده نمیشوند غالبا دندان مزیودنس مکمل در آنها شناسایی نمیشود و بدون این که والدین متوجه آن شوند بیرون زده و بعدا می افتد.
حتی در مواردی که بیرون زدن دندان مزیودنس مکمل آشکار میشود، اغلب به علت ترس از عمل جراحی برای کشیدن آن به دندانپزشک مراجعه نمیشود و دندان در جای خود باقی می ماند. این ممکن است منجر به آسیب دیدن دندانهای اصلی در حال رشد مجاور آن شود.
دندان مزیودنس ابتدایی یا رادیمنتاری
از آنجایی که تنها حدود یک چهارم دندانهای مزیودنس بیرون میزنند، درمان آن معمولا شامل مدیریت دندان در استخوان فک می باشد. رویکرد درمانی بستگی به مرحله رشد دندانی کودک دارد.در کودکان خیلی کم سن، مزیودنس ابتدایی که بیرون نزده است معمولا به حال خود رها میشود اما تحت نظر قرار میگیرد. بخشی از نگرانی دندانپزشک این است که فرایند جراحی که برای کشیدن آن لازم است ممکن است به دندانهای جلویی دائمی در حال رشد صدمه وارد کند.در کودکان بزرگتر که دندان بندی مختلط دارند، پس از این که کودک وارد مرحله دندان بندی مختلط شد (زمانی که برخی دندانها شیری و برخی دندانها دائمی هستند) دندانپزشک ممکن است کشیدن دندان اضافی را توصیه نماید. انجام این کار به تسریع فرایند بیرون زدن دندانهای جلویی در حال بیرون زدن کمک مینماید. همچنین ممکن است به بیرون زدن دندانهای دائمی در موقعیت مناسب و نرمال کمک شود.رویکرد دیگر این است که کشیدن دندان مزیودنس به زمانی موکول شود که ریشه های دندانهای جلویی وسطی مجاور آن تقریبا به طور کامل تشکیل شده اند (حدود 10 سالگی). حتی پس از کشیدن دندان، ممکن است چند ماه یا حتی چند سال طول بکشد تا دندانهای جلویی بیرون بزنند.در نوجوانان و بزرگسالان نیروهایی که باعث بیرون زدن دندان میشوند از دست رفته اند. بنابراین احتمال این که با کشیدن دندان مزیودنس دندانهای جلویی شروع به بیرون زدن نکنند بیشتر است.
کمک گرفتن از ارتودنسی
در مواردی که به نظر میرسد دندانهای جلویی فضای کافی برای بیرون زدن دارند اما ظرف شش ماه تا یک سال اثری از فرایند بیرون زدن در آنها دیده نمیشود، ممکن است دندانپزشک تصمیم بگیرد به بیرون زدن دندانها کمک نماید.
معمولا برای این منظور بافتی که روی دندان گیر کرده در زیر لثه را پوشانده است برش میخورد (جراحی ساده سرپایی) و سپس نوعی وسیله ارتودنسی (براکت) به آن وصل میشود تا دندان را به بیرون هدایت نماید.
در شرایطی که دندان مزیودنس وجود داشته باشد (خواه بیرون زده باشد یا نه)، تا حدی ناهمراستایی عمومی در دندانها مانند کجی و بهم فشردگی دندانها و جا به جایی خط تقارن لبخند اتفاق می افتد. با کمک درمان ارتودنسی میتوانید این مشکلات را اصلاح نمایید.
دندان اضافه و نحوه ی ایجاد آن










































