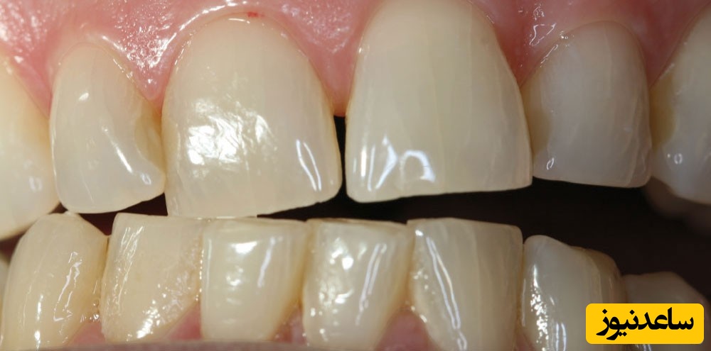
فاصله ی میان دندان ها اغلب در بین دو دندان جلویی در بالا ایجاد می شود. هر چند این فاصله ممکن است بین هر دو دندان دیگری نیز بروز پیدا کنند. عدم تطابق بین اندازه ی استخوان های فک و دندان ها می تواند سبب ایجاد فضای اضافه بین دندان ها و یا ازدحام دندان ها گردد. اگر دندان ها بیش از حد برای استخوان فک کوچک باشند، در این صورت فضاهایی در میان دندان ها ایجاد می شوند.
فاصله میان دندان ها می تواند در اثر دلایل مختلفی ایجاد شود. این پدیده اغلب به صورت نامرتبی دندان ها در کودکی است که به خودی خود اصلاح می شود. فاصله در خط میانی دندان ها می تواند به عنوان بخشی از روند کلی ایجاد فاصله بین دندان های شیری باشد که امری طبیعی بوده و به جای گرفتن دندان های دائمی بزرگ تر کمک می کند. فاصله دندان ها در خط وسط ممکن است در زمانی که هم دندا ن های اولیه و هم دندان های دائمی در دهان وجود دارند نیز مشاهده شود که این حالت در سنین ۸ تا ۹ سالگی رخ می دهد. والدین در این سنین اغلب نگران ظاهر ناخوشایند دندان های فرزند خود شده و با دندانپزشک مشورت می کنند.
دندان غائب فاصله از پیش موجود مربوط به خود را خالی می گذارد. مشکل ناشی از دندان غائب به مرور و با درآمدن بقیه دندان ها پیچیده تر می شود.جدی ترین دلیل ایجاد فاصله ی بین دندانی ابتلا به بیماری لثه است که تحلیل استخوان فک نگهدارنده ی دندان را به دنبال دارد. دندان پس از تحلیل رفتن استخوان فک لق می شود، حرکت می کند و به این ترتیب فاصله بین دندان ها ایجاد می شود.اگر چه مکیدن انگشت معمولاً باعث اختلال دیپ بایت می شود، اما در بعضی موارد این عادت فاصله دار شدن دندان های پیشین را نیز به دنبال دارد.برخی عادت دارند زبان خود را به دندان های قدامی فک بالا فشار دهند. زبان زدن یکی از دلایل اصلی فاصله دار شدن دندان ها است.فرنوم بافتی است که لثه ها و لب ها را به هم متصل می کند. اگر فرنوم یا بند لب بسیار بزرگ باشد، دندان های جلو فاصله دار می شود.ماهیچه ای که لب بالا را به لثه ها وصل می کند، لب ها را در جای مناسب نگه می دارد. در برخی بیماران اتصال این ماهیچه قدری متفاوت است و به مرور زمان باعث فاصله دار شدن دندان ها می شود.

اکثر بیمارانی که موردشان اورژانسی نیست، تمایل به بستن فاصله بین دندان های جلو دارند و برای این کار بسیار عجول هستند که البته به خوبی قابل درک است. از یاد نبریم که ظاهر و زیبایی چهره تاثیر زیادی بر قضاوت دیگران از ما دارد و شکی نیست که همگی ما می خواهیم بهترین تاثیر را بر مخاطبانمان بگذاریم.
اگر بیماری لثه علت فاصله دار شدن دندان ها باشد، جرم گیری و تصحیح سطح ریشه نخستین اقدامی است که برای کنترل و درمان بیماری لثه انجام می شود. آتل بندی دندان لق شده، سیم کشی دندان ها یا ترمیم با پل ثابت یا دندان مصنوعی پس از جرم گیری توصیه می شود.
سوالات متداول وجود فاصله در بین دندانها
1-بهترین راه برای بستن فاصله دندان ها چیست؟
بهترین روش برای بستن فاصله دندان ها انجام ارتودنسی است. این گزینه ایده آل ترین گزینه برای کسانی است که به دنبال متقارن کردن دندان های خود هستند.
2-آیا وجود فاصله بین دندان ها ژنتیکی است؟
بله، اندازه دندانها و استخوان فک شما توسط ژنتیک قابل تعیین است، بنابراین جنبه ارثی دارد.
3-چرا بستن فاصله دندانها با کامپوزیت توصیه نمی شود؟
فاصله دندانهایی که با کامپوزیت بسته می شود، نیازی به مراقبت های مختلف یا خاص در خانه دارند. به مرور زمان لکه دار می شود. احتمال تغییر رنگ برای افرادی که بیشتر قهوه، چای، آبمیوه های رنگی یا محصولات دخانی مصرف می کنند بسیار بیشتر خواهد بود. بعلاوه بعد از چند سال وجود کامپوزیت باعث تخریب لثه و استخوان فک می شود
4-مزایای استفاده از براکت های ارتودنسی برای بستن فاصله دندانها چیست؟
با استفاده از براکت های ارتودنسی می توان دندانها را به هم نزدیک کرد و فاصله بین دندانهای به راحتی و بدون هیچ خطری بسته می شود.
5-آیا فاصله بین دندانها مشکل ساز است؟
فاصله بین دندانها مشکلاتی از قبیل: افزایش ابتلا به بیماری های لثه، طرح لبخند نامناسب، مشکلات ظاهری و عملکرد نادرست دندانها را بوجود می آورد.
درد ارتودنسی به چه عواملی بستگی دارد؟










































