صفحه اصلی
●
درباره ما
●
English
●
العربية
Thursday, December 11, 2025
پنجشنبه، 20 آذر 1404
ساعدنیوز
●
درباره ما
●
زبان
فارسی
English
العربية
دسته بندی ها
بستن
جستجو
سیاست
جامعه
حوادث
اقتصاد
ورزش
دانشگاه
موسیقی
هنر و رسانه
علم و فناوری
بازار
مجله خانواده
ویدیو
عکس
خبر با تو
استانها
اطلاعات دارویی
خواص خوراکی ها
پوست و مو
بیماری ها و راههای درمان
رژیم غذایی
طب سنتی و گیاهان دارویی
دهان و دندان
مجله خانواده
سلامت خانواده
دهان و دندان
خوراکی های مضر برای دندان ها
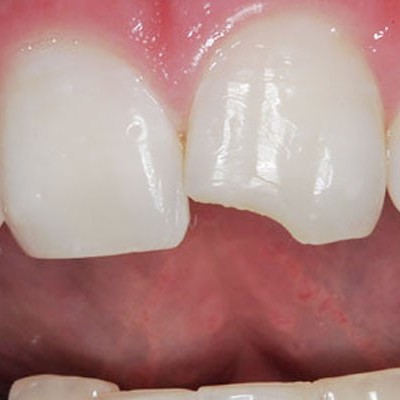
روش های ترمیم انواع شکستگی های دندان
پر کردن و ترمیم دندان
تفاوت بلیچینگ و جرمگیری دندان چیست؟
روش های آسان جرمگیری دندان در خانه
آنچه که باید درباره جرمگیری دندان بدانیم
بلیچینگ دندان چیست؟
دو راه زیباسازی و ترمیم دندان
تفاوت لمینت با روکش دندان و فرق آنها با ایمپلنت چیست؟
لمینت دندان چیست و برای چه افرادی مناسب است؟
تأثیر بهداشت ضعیف دهان و دندان بر سلامتی
نکاتی برای رعایت بهداشت دهان و دندان
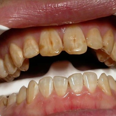
با دندان شکسته یا کنده شده چکار کنیم؟
نکاتی برای مراقبت از ایمپلنت
روش صحیح استفاده از نخ دندان
علل و درمان خشکی دهان
روش های ساخت دهان شویه خانگی
نکاتی برای بهبود دندان های حساس
پلاک دندان چیست؟
بوی بد دهان نشانه ی چیست؟
جلوگیری از پوسیدگی دندان با چند مواد غذایی شگفت انگیز
تبخال ؛ علائم، روشهای پیشگیری، درمانهای دارویی و خانگی
مزه فلز در دهان چه عللی دارد و چگونه درمان میشود؟
دلیل ایجاد تاول لب و درمان طبی و خانگی آن
چگونه دندان های سفید داشته باشیم؟
چه خوردنی هایی باعث زرد رنگ شدن دندان های می شوند؟
چه چیزی باعث سیاه شدن دندان ها می شود؟
بدن سالم در دندانهای سالم!
آیا دندانهای درخشان تر و سفیدتر میخواهید؟
بدون وجود هر گونه سیم روی دندان ها، می توان آنها را مرتب نمود!
آیا خمیردندان حاوی زغال فعال می تواند اثری بر روی سفیدی دندان داشته باشد؟
چگونه در خانه دهان شویه بسازیم؟
دلیل تورم سقف دهان
فواید بزاق دهان چیست؟
باکتری های روی مسواک می توانند بیشتر از توالت باشند!
روش های خانگی کاهش دندان درد
دنداندرد، یکی از علائم متداول سینوزیت
روش های درمان دندان های فاصله دار
چه مواد غذایی برای دندان مضر است؟
چگونه از دندان هایمان مراقبت کنیم؟
بهداشت دهان و دندان و نقش آن در زیبایی
بهداشت دهان و دندان
کامپوزیت دندان چیست؟
عوارض وحشتناک دندان پوسیده بر بدن
همه چیز درباه ی لمینت دندان
علایم انواع بیماری های دهان و دندان
فواید مسواک برقی
روش های ساده برای داشتن دندان های سالم
علت ایجاد لکه ی قهوه ای بر روی دندان
ارتودنسی باعث افزایش طول عمر دندان ها می شود
دندان قروچه
علت و درمان افت دهان با داروهای گیاهی و پزشکی
با نسخههای طبیعی از درد دندان رها شوید
علت تلخی دهان و روشهای درمانی
کرم خوردگی دندان یا حفره ی دندان
جرم گیری دندان و سلامت و بهداشت
10 توصیه برای رعایت بهداشت دندان
مراقبت از دندان های پر شده برای ماندگاری طولانی مواد داخل آن
پروسه جرمگیری دندان چگونه است؟
مراقبت های لازم بعد از انجام بلیچینگ (سفید کردن و جرم گیری) دندان
صفحه قبل
صفحه بعد
از سراسر وب
(عکس)یادی کنیم از زلزله بم و حضور سلبریتیها در بیمارستانی در تهران برای عیادت از مجروحان
نگاهی به استایل مجلسی لیندا کیانی، عصمت سریال بامداد خمار +عکس/ شیک ، مجلسی ، اعیان
شعرخوانی جانسوز رشید کاکاوند از میرزاده عشقی که مهر وفاداری هر عاشقیست/ بعضی پیمانها را نه با جوهر که با شیرِ مادر مینویسند/ حاشا که ز دل، مهر تو آسان برود، وان عشق گران خریده ارزان برود
حکایتهای خواندنی کلیله و دمنه / داستان جذاب خر همیشه خر است
(ویدیو) زنی اهل ترکیه که در هر ثانیه یک عطسه میکند!
پروژهای ایرانی با دستاورد جهانی/ از ثبتنام ارشد تا نانوالیاف ضدباکتری
شهربانو منصوریان با این استوری عاشقانه اینستاگرام را ترکاند: کمترین آرزویم این است که هرگز با چشمان مهربانت نامهربانی روزگار را...+عکس
روز مادر باشه و یادی از مادر رئیسجمهورمون نکنیم؟؛ تنها قاب مسعود پزشکیان با مادرش در لباس محلی و زیبا که شباهتش به زهرا پزشکیان شما را حیرت زده میکند+ویدیو
مطالب پیشنهادی
برادر علی دایی: ما همگی دوتا اسم داریم، اولی رو پدرم انتخاب کرده و دومی رو عمهام برایمان گذاشته است و...
کلمبیا «بزرگترین گنج تاریخ بشر» را از زیر آب بیرون میکشد
در ستایش روز دانشجو؛ خلاقیت خندهدار دانشجوی رشته داروسازی برای گرم کردن غذا با سشوار در خوابگاه حماسه آفرید/ امکانات 0 خلاقیت 100😂
(ویدیو) آموزش آسان و سریع مکالمه روزمره آلمانی تنها با شنیدن و تکرار/ درس 38
پیشنهاد ویژه
(ویدئو) مستند حیات وحش حیوانات/ راز بقا، این داستان رقص صورتی فلامینگوها در تالابهای جادویی
(فیلم) صحبتهای عجیب رسول خطیبی: هرکس به خاطر من زنگ زده بیخود کرده! قبل از ریاست جمهوری چه کسی پزشکیان را میشناخت؟!
ونزوئلا زیر سایه جنگندههای ایالات متحده/ تصویر افشا شده از رادارها را ببینید؛ جنگ تمام عیار در آستانه آغاز؟
تغییر چهره فریبا سهرابی، زینب «مادر مارال» در سریال آنام بعد از 10 سال جوان تر از سالهای پیش+عکس
پربازدیدترین ویدئوهای روز
(ویدیو) یادی کنیم از اجرای به یاد ماندنی و احساسی تصنیف «ما شبی دست برآریم و دعایی بکنیم» حضرت حافظ توسط بلبل خوشنوای موسیقی ایران، استاد غلامحسین بنان
اکران روز: غوغای استایل شیک هنرمندان در اکران فیلم «تابستانی که برف آمد»/از سامان صفاری و نفیسه روشن تا استایل مسکولن مریم معصومی و شیوا مکینیان
حکایتهای خواندنی کلیله و دمنه / داستان جذاب خر همیشه خر است
نگاهی به چیدمان منزل شاهانه و سنتی لیندا کیانی ،بازیگر سریال «بامداد خمار» و همسرش با حال و هوای ایرانی/ از مبلمان مدرن و پردههای اعیانی تا عضو ثابت خونههای ایرانی، گل شمعدونی
کائنات پیام ویژه ای برات داره؛ گاهی زندگی دوباره از همون جایی شروع میشه که فکر میکردی پایانته. فقط یک لحظه بیشتر دوام بیار/ پیام انگیزشی امروز
طالعبینی روز؛ نمیتونی جای خالیش رو پر کنی؟ اسمش رو صدا بزن و صبر کن، بهزودی با دلی لرزان برمیگرده / تقویم نجومی، اعمال، ذکر و نماز امروز چهارشنبه 19 آذر 1404
حیات وحش ؛ مستند حیات وحش حیوانات/ شیر ، کره خر
(ویدئو) مازیار لرستانی: مادرمو به زور بردم سینما، از خجالت حرفهایی که در سینما میزدند شرمنده مادرم شدم/ نمیدانم که چی دارید سر سینما میارید این سینما نیست!
وب گردی
حوادث
بیشتر
(فیلم) آخرِ ماجرای تیراندازی به هانی کُرده، شرور معروف تهران در بهشت زهرا به کجا رسید؟!
ببینید؛ لحظه گردنبندقاپی وحشیانه سارقان چاقوکش از دختر جوان در خیابان های تهران در روز روشن
مرگ خونین مادر توسط فرزند ناخلفش در سمنان/ قاتل دایی اش را هم زخمی کرد
ببینید؛ لحظه هولناک سقوط هواپیما روی خودروی شخصی وسط بزرگراه
کشف عجیب پژو با جمجمه و اسکلت انسان پس از 15 سال از زیر خاک در حوالی اهواز + فیلم
دستگیری سارق ساختمان های نیمه کاره در میانه
بلای وحشناکی که دکتر زیبایی قلابی بر سر این زن جوان آورده/ صورتم کج مونده شکمم ورم داره...+ ویدئو
فیلم بازسازی صحنه قتل وحشتناک زن جوان در گنبد کاووس؛ جسد سمیه شیرمحمدلی را در کیسه زباله رها کرده بود
آخرین ویدیو ها
خلاقیت تحسینبرانگیز اوستا قناد برای پخت کیک روز مادر خاص و متفاوت / به جرات یکی از قشنگترین کادوهای روز مادر همینه + ویدئو
(ویدیو) بهرام سریال داریوش: بعد از 27 سال زندگی مشترک من و همسرم دعوا نکردیم!
(ویدیو) پاس هوایی 20متری مملی، هافبک جوان پرسپولیس زیرپای علیپور/ در آخر چه گُلی زد اورونوف👌
رهبر معظم انقلاب: من در کلاس اول ابتدایی چشمانم ضعیف بود و تخته سیاه و چهره معلم رو نمیدیدم +ویدیو
با این 8 سکانس از هنرنمایی آخرخندهی سیروس میمنت در سریال نون خ، 6 دقیقه فقط و فقط بخندید😂
بوی رونمایی بزرگ میآید؛ کریتوس در یکقدمی The Game Awards؟ افشای تازه The Snitch هیجان را سهبرابر کرد!
(ویدیو) این ربات های آپتیموس تسلا دیگه فرقی با انسان واقعی ندارن/ از امسال میتونن تو مسابقات دو میدانی شرکت کنن
(ویدئو) «حامد آهنگی» با جواباش «رامبد جوان» رو گذاشت تو منگنه😁/ فقط جوابهای خندهدار حامد آهنگی به سوال 3 فامیل پدری را نام ببرید
خلاصه بازی جذاب و مهیج تراکتور مقابل ذوب آهن با داوری جنجالی+فیلم/ 90 دقیقه جنگ بدون برنده
طرز تهیه جوجه کباب خوشمزه بدون نیاز به سیخ و منقل
ویدیو/ مکالمۀ انگلیسی فوق خنده دار غلامرضا نیکخواه و حامد آهنگی در خارج/ هوی وات آر یو دوئینگ؟ فایو تومان، مای نیم ایز جک!
مهدی طارمی ستاره درخشان تیم ملی، هشتک پُز نیست سبک زندگیمه رو اینجوری معنی کرد/ خفن و لاکچری مثل هواپیما
آخرین تصاویر
(عکس) جدیدترین استایل دانشآموزی دختران شاهرخ استخری در هوای سرد بلژیک؛ تیپ نبات واویلاست!!😅😍
ماجرای عجیب زن 40 ساله ای که 44 بار بچه دار شد
خلاقیت خنده دار و تحسین برانگیز راننده کرمانی در دادن کادوی روز زن حماسه آفرید / هزاران آفرین به این ذهن پر از ایده
کشف قلکهای 1800ساله مملو از سکه
یادی کنیم از دختران سینمای ایران که به شکل ناجوانمردانه مُردند
یادی کنیم از دورهمی خانوادگی یکتا ناصر و منوچهر هادی در کنار دخترشان در رستوران
(عکس) یادی کنیم از جواهرات خیره کننده رونالدو در مراسم قرعه کشی لیگ قهرمانان اروپا به ارزش 6 میلیون پوند
آلبوم روز ویژه روز مادر/نگاهی به آلبوم تصاویر بازیگران جوکر در کنار مادرانشان؛ نعیمه نظامدوست، بهنوش بختیاری، مهسا طهماسبی، سحر ولدبیگی و ..
سایر ویدیوها
(ویدئو) مستند حیات وحش حیوانات/ فیلمی باورنکردنی از نبرد عقاب مار خوار، مامبای سیاه و دو شیر ماده گرسنه!
نگاهی خیرهکننده به معماری باشکوه خانه علی دایی و کریم باقری؛ پشت درهای بسته لوکسترین پنتهاوس تهران چه میگذرد؟/ از استخر لاکچری تا اتاق بیلیارد مجلل + ویدئو
اکران روز: غوغای استایل شیک هنرمندان در اکران فیلم «تابستانی که برف آمد»/از سامان صفاری و نفیسه روشن تا استایل مسکولن مریم معصومی و شیوا مکینیان
(ویدئو)یادی کنیم از حکایت بهلول و خرش؛ حکایتی که قرنهاست درباره شناخت آدمها و تشخیص نیت واقعی دوستان هشدار میدهد
(ویدئو) مازیار لرستانی: مادرمو به زور بردم سینما، از خجالت حرفهایی که در سینما میزدند شرمنده مادرم شدم/ نمیدانم که چی دارید سر سینما میارید این سینما نیست!
(ویدیو) مستند حیات وحش/ صحنهای کمنظیر از حیاتوحش؛ درگیری تمساح با گروهی از سمورها
زاکانی: به همسرم پیامک «فدات شم» میدهم!
یادی کنیم از شورانگیزترین دِکلمه غم انگیز استاد شهریار وقتی پری، عشق جوانی اش را بچه به بغل دید +فیلم/ﺗﻮ ﺷﺪﯼ ﻣﺎﺩﺭ ﻭ ﻣﻦ ﺑﺎ ﻫﻤﻪ ﭘﯿﺮﯼ؛ ﭘﺴﺮﻡ...
(ویدئو) وقتی داوینچی آینده را پیشبینی کرد؛ ربات نقاشی که 500 سال جلوتر از زمانش بود دنیا را مات کرده!
رهبر معظم انقلاب: من در کلاس اول ابتدایی چشمانم ضعیف بود و تخته سیاه و چهره معلم رو نمیدیدم +ویدیو
مادر مثل ماهچهره خلیلی؛ سیلی زدن این بازیگر در لندن به صورت یک مردی که بچهاش را...+ویدیو/ روحش شاد
هدیه روز زن به سبک آقای زرنگ؛ خانمها مواظب باشید شوهرهاتون اینجوری از زیر کادو در نرن 🤣/ سعید عزیزی: خانمها لحظههارو دریابید آقایون جوگیر میشن