علت لکه قهوه ای روی دندان
دلیل اصلی لکه های قهوه ای روی دندان سیگار کشیدن است. نیکوتین موجود در سیگار و سایر دخانیات باعث تشکیل لکه های قهوه ای روی دندان ها می شوند.
داروهایی مانند تتراسایکلین ، مصرف مواد غذایی و نوشیدنی های تیره، بهداشت دهان و دندان ضعیف (به ویژه در کودکان)، آسیب هایی که سبب آسیب به دندان ها یا بافت های صمغی می شوند و بیماری های خاص می توانند علت لکه های قهوه ای روی دندان باشند.
علاوه بر عللی که گفته شد در ادامه به برخی از اصلی ترین دلایل پزشکی تشکیل لکه های قهوه ای روی دندان اشاره می کنیم:
پوسیدگی دندان علت لکه قهوه ای روی دندان
لکه های قهوه ای روی دندان می توانند به خاطر پوسیدگی دندان باشند که در اثر مصرف غذاهای شیرین و نشاسته ای بیش از حد ایجاد می شوند. نوشیدنی هایی که قند بالایی دارند، با ایجاد پلاک هایی به سطح دندان ها می چسبند و در طول زمان به دندان آسیب می رساند. اگر پلاک های دندانی تشکیل شده، با مسواک منظم از بین برده نشوند، مینای دندان را از بین می برد و آن را قهوه ای می کند.

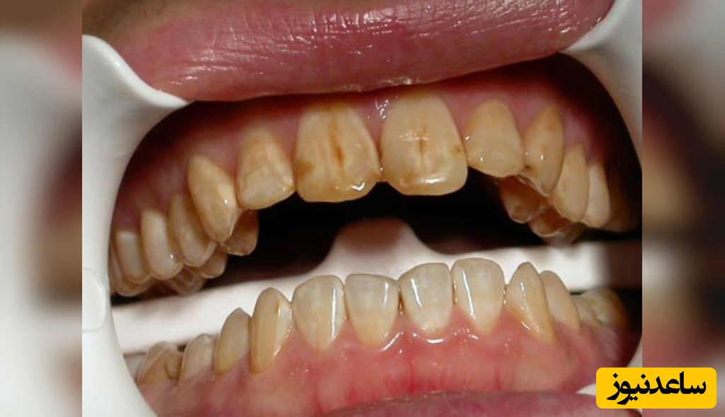
لکه های قهوه ای روی دندان
راه های از بین بردن لکه های روی دندان در خانه
یکی از راه های رسیدگی به دندان، از بین بردن لکه های روی آن می باشد. راه های از بین بردن لکه های روی دندان در خانه را در این مقاله برای شما فراهم کرده ایم تا بتوانید بادندان های خود در مجالس و جلسات بدرخشید.
راه های از بین بردن لکه های روی دندان در خانه
دندان یکی از اعضای چهره است که هنگام صحبت کردن مخاطب را جذب خود می کند. بخصوص دندان های زیبا و جذاب در هنگام صحبت یا سخنرانی می تواند مخاطب را بیشتر تحت تاثیر قرار دهد. برای داشتن دندان زیبا و جذاب لازم است که به آن ها رسیدگی شود، یکی از راه های رسیدگی به دندان، از بین بردن لکه ها می باشد.راه های از بین بردن لکه های روی دندان در خانه را در این مقاله برای شما فراهم کرده ایم تا بتوانید بادندان های خود در مجالس و جلسات بدرخشید.
استفاده از جوش شیرین
پیش از مسواک زدن، مقداری جوش شیرین به خمیر دندان بیفزایید. جوش شیرین خاصیت سایشی دارد و برای از بین بردن لکه های سیاه دندان مناسب است. می توانید مخلوطی از آب و جوش شیرین تهیه کنید و هر روز قرقره کنید.

خمیر دندان کلسیم و فلورید استفاده کنید
دو ماده موثری که جرم ها را از بین می برد و باعث سلامتی دندان ها می شود عبارتند از کلسیم و فلورید. خمیر دندان فلورید انتخابی مناسب است. همچنین از وجود فلوئور کافی در آب نوشیدنی مطمئن شوید. فراموش نکنید کلسیم نیز مصرف کنید. مکمل کلسیم و مصرف روزانه شیر باعث قوی شدن دندان و جلوگیری از تشکیل ترک می شود.
استفاده از نمک
نمک برای تمیزی دندان مناسب است. می توانید نمک را هر دو روز یک بار بر روی دندان بمالید. این کار باعث از بین رفتن لکه های سیاه روی دندان می شود.

تاثیر نمک در از بین بردن لکه های قهوه ای
آب لیمو و آب
مقداری آب لیمو را با آب مخلوط کنید. این ماده خاصیت ضد باکتریایی دارد و باعث ترمیم نیز می شود. همچنین می توانید لیمو بر روی لکه های سیاه دندان بمالید. راه دیگر مخلوط کردن نمک با لیم و اعمال آن بر روی دندان است. سپس بعد از چند دقیقه با آب بشویید.
استفاده از سرکه سیب
سرکه سیب باعث سفیدی دندان می شود و جرم هایی که مینای دندان را تحت تاثیر قرار می دهند را از بین می برد. یک قاشق چایخوری سرکه سیب را با یک لیوان آب مخلوط کرده و دو بار در هفته قرقره کنید.
هنگامی که مینا توسط لکه های سیاه تحت تاثیر قرار می گیرد فقط درمان تخصصی باعثاز بین بردن لکه های دندان می شود. جرم گیری دندان فقط توسط دندانپزشک در مطب انجام می شود. گاهی نیز دندانپزشک کیت های مخصوص برای سلامتی دندان به شما می دهد که برای یک یا دو هفته قابل استفاده است.
هنگامی که بیمار مشکل پوسیدگی دندان دارد، دندانپزشک پوسیدگی را برطرف کرده و دندان را پر می کند.
در حالتی که پالپ دندان آسیب دیده باشد ریشه دندان تحت درمان قرار می گیرد. بافت پالپ اگر به شدت آسیب دیده باشد درمانی وجود دارد و باید دندان را کشید.
تقریبا تمام لکه های سیاه دندان قابل تمیز شدن و از بین رفتن هستند. گاهی نیز استفاده از روش لیزر برای سفید کردن دندان لازم است. اگر لکه های سیاه دندان شما را آزار می دهد با دندانپزشک صحبت کنید و بهترین راه از بین رفتن آن ها را انتخاب کنید.
پاک کردن لکه قهوه از دندان:
روش های زیادی برای سفید شدن دندان ها وجود دارد. اما به عنوان یک توصیه عمومی، بهتر است پس از هر بار مصرف چای، قهوه و سایر نوشیدنی های رنگی دهان خود را با آب تمیز کنید. خارج کردن این مواد از دهان پیش از چسبیدن آنها به دندان، از تغییر رنگ دندان پیشگیری می کند.
1 قاشق چایخوری جوش شیرین را در ظرف کوچکی بریزید. سه تا پنج قطره پراکسید هیدروژن را به آن اضافه کنید و مخلوط را به هم بزنید تا غلیظ شود.
مخلوط را بر روی مسواک خود بریزید و دندانهایتان را دو دقیقه مسواک کنید. برای پاک کردن لکه قهوه از دندان به نواحی زرد شده توجه بیشتری کنید. مسواک را بیش از حد به دندان های خود فشار ندهید. این کار می تواند به مینای دندان شما آسیب بزند.
دهان خود را با آب سرد بشویید تا هرگونه باقی مانده مواد از دهان شما خارج شود. این ماده تمیزکننده را نباید ببلعید.
ممکن است برایاز بین بردن لکه های روی دندان لازم باشد این عمل را چند روز پشت سر هم انجام دهید. پس از چند روز دندان های شما سفید و درخشان خواهند شد.











































