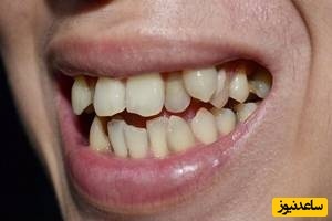
کج بودن دندان ها و عدم هماهنگی آن ها مشکل بسیار شایعی در میان افراد مختلف است. هم در کودکان و هم در افراد بالغ و بزرگسال این مشکل دیده می شود. دندان هایی که به طور کامل و متناسب با هم مطابقت ندارند و یا به صورت ساده تر، ناصاف هستند از جذابیت دندان های شما کم خواهند کرد.اگر از ظاهر دندان های خود و در نتیجه ظاهر لبخند خود راضی نیستید، یا اگر کج بودن دندان های شما مشکلات سلامتی یا گفتاری را برایتان ایجاد می کند، می توانید آن ها را صاف کرده و صاحب لبخندی تاثیرگذار و زیبا باشید. در این مقاله با علل اصلی کج و ناصاف بودن دندان ها و همچنین نحوه تصحیح حالت دندان ها به منظور صاف کردن دندان بیشتر آشنا خواهید شد.
هم دندان های شیری و هم دندانهای دائمی قابلیت کج شدن به مرور زمان را دارند. در کودکان به دلیل کمبود فضا یا کوچک بودن فک های بالا و پایین فضای کافی برای رشد دندان ها وجود ندارد. بنابریان دندان از مسیرهای نامتعارف بیرون آمده و به شکل نامناسبی به رشد خود ادامه می دهند.داشتن برخی از عادات نامناسب مثل مکیدن انگشت یا وسایل و اسباب بازی ها در سنین کودکی می تواند باعث کج شدن دندان شیری در کودک شوند. وراثت و ژنتیک نیز ممکن است نقشی در کج بودن دندان داشته باشند.داشتن دندان های شیری کج به این معنا نیست که کودک شما دارای دندانهای دائمی کجی خواهد شد. با این حال، اگر فضای کافی برای رشد دنداند در اختیار نباشد باید منتظر کج در آمدن دندان های دائمی کودک خود باشید.

تاثیر دندان کج و نامتناسب بر سلامت عمومی
همانطور که می دانید، دندان کج و نامتناسب کودکان را به سختی می توان تمیز نگه داشت و این دندان ها بیشتر مستعد پوسیدگی دندان و بیماری لثه، ساییدگی دندان و افتادن هستند.از طرف دیگر دندان های کج و نامتناسب باعث می شوند که کودک در آینده در هنگام غذا خوردن نیاز به فشار اضافی تر عضلات در هنگام جویدن مواد غذایی داشته باشد که می تواند منجر به سردرد، سندرم مفصل گيجگاهى فكى (TMJ)، درد گردن و شانه شود.علاوه بر این عدم تناسب موقعیت فک ها با یکدیگر و قرارگیری نامرتب دندان ها موجب عدم عملکرد صحیح و به خطر افتادن سلامت عمومی کودک می گردد.
علت نامرتب بودن دندان در کودکان به شرح ذیل می باشد :
بهتر است بدانید که اندازه دندان ها و اندازه فک معمولا به صورت ژنتیکی نقش تعیین کننده ای در بروز نامرتبی دندان در کودکان دارد. اما بايد توجه داشت كه محيط و تغذيه نيز در رشد فك و رويش دندانها نيز مى تواند مؤثر باشد.يكى از نگرانى هاى والدين رويش دندانهاى جلويي فك پائين در پشت دندانهاى شيرى است. بسيارى از كودكان دندانهاى شيرى كوچكى داشته و فضاى كمى براي كنارهم قرارگرفتن دندان مورد نياز است.دندانهاى جلوئي دائمى سايز بزگترى داشته و در بسيارى از مواقع جوانه آنها در پشت دندان شيرى قرار مى گيرد. بنابراين طبيعي است كه در ابتدا كمى نامرتبى دندان در كودكان مشاهده شود. اما معمولاً با افزايش سن (نزديك سن بلوغ) و رشد فك ، فضاى بزرگترى ايجاد مى شود و دندانها مرتب تر خواهند شد.بنابراين كشيدن دندانهاى شيرى در سنين پائين هيچ كمكى به مرتب شدن نخواهد كرد و گاهى شرايط را نيز بدتر مى كند.
در حالت کلی ، می توان از دلایل نامرتبی دندان در کودکان ، به مواردی همچون وجود دندان اضافه در دهان ، باقی ماندن دندان های شیری طولانی مدت در دهان ، مشكل در رشد دندان های آسیاب ، زود افتادن دندان های شیری ، بزرگ بودن دندان ها و از این قبیل موارد اشاره کرد .
انواع روش های انجام بلیچینگ دندان










































