صفحه اصلی
●
درباره ما
●
English
●
العربية
Tuesday, May 19, 2026
سه شنبه، 29 اردیبهشت 1405
ساعدنیوز
●
درباره ما
●
زبان
فارسی
English
العربية
دسته بندی ها
بستن
جستجو
سیاست
جامعه
حوادث
اقتصاد
ورزش
دانشگاه
موسیقی
هنر و رسانه
علم و فناوری
بازار
مجله خانواده
ویدیو
عکس
خبر با تو
استانها
زیبایی دندان
نحوه ی انتخاب یکی از دستگاه های ارتودنسی که مناسب دندان های شماست!
مراحل انجام ارتودنسی در بزرگسالان به چه صورت است؟
مهمترین مراحل ارتودنسی ثابت چیست؟
در حین ارتودنسی چه مراحلی را باید طی کرد؟
دوره ی ارتودنسی به مراقبت های بهداشتی بیشتری نیاز دارد!
انواع روکش های دندان چیست؟
3 کاربرد مهم روکش دندان که باید بدانید!
مهمترین عوارض روکش دندان
روش هایی برای پر کردن جای خالی دندان
اگر جای دندان از دست رفته خالی بماند چه میشود؟
جایگزینی دندانهای از دست رفته با بریج ثابت
پروتز کامل دندان و سوالات رایج در مورد آن
از بین بردن لکه های دندان در خانه با چند روش ساده
روشهای درمان لکههای دندانی
چه شباهتها و تفاوتهایی بین ارتودنسی زیبائی و ارتودنسی سنتی وجود دارد؟
ارتودنسی سنتی چیست؟
انواع مختلف ارتودنسی و بهترین نوع آن
بخش های مختلف کش ارتودنسی چیست؟
احساس بیمار در زمان قرار گیری کش ارتودنسی چیست؟
کش ارتودنسی و انواع آن
نامرتبی دندان ها + نکات مهم
علت نامرتب بودن دندان کودکان چیست؟
آشنایی با وسایل ارتودنسی
انواع روش های انجام بلیچینگ دندان
چرا باید از روش بلیچینگ دندان استفاده کرد ؟
بلیچینگ دندان ها و نکاتی که باید بدانید!
چسب دندان مصنوعی چیست؟
کاربرد انواع مختلف دندان مصنوعی چیست؟
راه های عادت کردن به دندان مصنوعی چیست؟
آیا در هنگام بارداری می توان درمان های زیبایی دندانپزشکی انجام داد؟
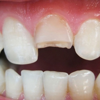
مراحل ترمیم کامپوزیت دندان شکسته چگونه است؟
آیا دندان شکسته را می توان با کامپوزیت ترمیم کرد؟
سوالات متداول ترمیم دندان شکسته
6 نوع از شکستگی دندان که باید فوری درمان شوند!
روش های مطمئن و اصولی ترمیم دندان شکسته چیست؟
در مورد ارتودنسی سرامیکی با براکت شفاف چه میدانید؟
4 مورد از ویژگی های ارتودنسی سرامیکی که باید بدانید!
سوالات متداول در مورد ارتودنسی سرامیکی
نکات ضعف و قوت ارتودنسی دیمون چیست؟
مزایای فوق العاده ی ارتودنسی دیمون چیست؟
مهمترین مزایا و معایب ارتودنسی لینگوال چیست؟
در مورد ارتودنسی لینگوال چه میدانید؟
طرز کار ارتودنسی متحرک چگونه است؟
انواع بریس های دندان در ارتودنسی متحرک
حرکت دندان با دستگاه ارتودنسی متحرک چگونه اتفاق می افتد؟
سوالات متداول درباره ی ارتودنسی نامرئی
کاربرد ارتودنسی نامرئی چیست؟
رنگهای محبوب بریس در ارتودنسی رنگی چیست؟
نحوه ی استفاده از جوششیرین و هیدروژن پروکسید برای سفیدی دندان ها
چرا استفاده از سرکهی سیب باعث سفیدی دندان ها میشود؟
7 ماده ای که دندان هایتان را سفید می کنند!
در طرح لبخند به چه نکاتی باید توجه کرد؟
طراحی لبخند چیست؟ و انواع عکس طرح لبخند
روش اصلاح طرح لبخند چه نقشی در زیبایی لبخند دارد؟
چرا از انجام کامپوزیت دندان باید خودداری کرد؟
آیا کامپوزیت دندان ها را خراب می کند؟
تفاوت لمینت سرامیکی و کامپوزیتی در چیست؟
برای بهبود ظاهر دندان ها از کدام نوع لمینت استفاده کنیم؟
لمینت های سرامیکی چگونه موجب زیبایی لبخند می شود؟
هدف و کاربرد لمینت های سرامیکی دندان چیست؟
صفحه قبل
صفحه بعد
از سراسر وب
سکانسی از سریال پایتخت که هیچکس راز آن را نفهمید+ فیلم/ پسر سوسن کی بود اصلا!🤣
محمدرضا گلزار رفت؛ «خلج» همبازی جدید مهران مدیری در پروژه تازهای شد که توجهها را جلب کرده است
درس هایی از طبیعت؛ مستند حیات وحش؛ نبرد اسب عصبانی و گورخر با شیر/ تقابل "قدرت شکار" در برابر "اراده بقا"+فیلم
نظرسنجی داغ فوتبال/ آقای خاص دوباره در برنابئو؟ نظر «مدریدیستاها» درباره بازگشت مورینیو چیست؟
ببینید| جشن ازدواج به سبک متفاوت در قلب تهران؛ عروس و دامادها میدان انقلاب را سفیدپوش کردند + ویدیو
خلاقیت منحصر به فرد آرایشگر خوش ذوق در شینیون موی مشتری حماسه ساز شد+ویدئو/ ایده هنرمندانه و خلاقانه😂
پنکیک قابلمهای ساده و پفدار؛ این غذا رو بدون فر بپز و لذت ببر
(ویدئو) مرور یک فداکاری نوستالژیک؛ وقتی دانشآموزان رامبد جوان برای نجات آقای جبلی مقابل خانم دارابی ایستادند!
پیشنهاد ویژه
آغاز مأموریت فوتبال؛ ملیپوشان ایران تهران را ترک کردند
آیسان اسلامی، شیما کاتوزیان، صدف بیوتی،نگار فرهمند همسر سابق پژمان جمشیدی در لیست کامل بلاگر هایی که اموالشان توقیف شد
انفجار موشک در مدار زمین؛ آیا یک کلیک برای نابودی استارلینک و ماهوارههای نظامی آمریکا و اسرائیل کافی است؟ + ویدئو
کشف جمجمه و اسکلت زن گمشده در بستر رودخانه / شوهر مطلقه اش قاتل بود
مطالب پیشنهادی
ویدئو لورفته از روابط عجیب علی شادمان و آناهیتا افشار خشم عمومی را برانگیخت!
از کلاس سوم دبستان تا فتح سیمرغ؛ ویدئوی کمتر دیدهشده از کودکی مریلا زارعی کاربران را شگفتزده کرد
قاب تاریخ امروز / سفر به دوران ناصرالدین شاه از خیابانهای تهران تا استایل مردان قاجاری در باغشاه + عکس
واکنش مهروز ساعی به ریاست دوباره هادی ساعی: امیدوارم تکواندو در 4 سال آینده ....
پربازدیدترین ویدئوهای روز
طالعبینی روز؛ فالت یه چیز مهم رو لو میده…یه لحظهی خیلی خاص در راهه که یا همهچیز رو روشن میکنه… یا همهچیز رو پیچیدهتر
طالعبینی روز؛ فال امروزت هشدار میده، یه اعتراف ناگهانی، یه پیام طولانی یا یه رفتار غیرمنتظره خیلی نزدیکه… چون دیگه احساساتش قابل پنهان کردن نیست / سهشنبه 29 اردیبهشت 1405
بی احترامی پگاه آهنگرانی به مادران داغ دیده میناب در جشنواره کن/میتوانی چشم در چشم مادران میناب شوی؟!
کائنات پیام ویژه ای برات داره / اگر امروز هیچ امیدی نداری، خودت را بابتش سرزنش نکن آدم خسته، دنیا را تاریکتر میبیند../ پیام انگیزشی امروز 28 اردیبهشت 1405+ ویدئو
کائنات پیام ویژه ای برات داره /زندگی مسابقه نیست؛ لازم نیست زودتر از بقیه موفق شوی کافیست یک روز از دیروزت قویتر باشی.../ پیام انگیزشی امروز 29 اردیبهشت 1405+ ویدئو
شکرگزاری صبحگاهی/ خدایا شکرت برای نفس کشیدن، برای زنده بودن و برای تمام معجزههای کوچکی که هر روز در زندگی ما جاریاند.../ شکرگزاری امروز + ویدئو
تماشا کنید| اعترافات تکاندهنده پهلویچیها به شکست؛ از رویای براندازی تا حسرت وطن و قرص اعصاب! + ویدیو
ببینید| ایران به روسیه اعلام کرد: در صورت حمله دوباره آمریکا به خاک ایران، ابوظبی را به یک بیابان خالی از سکنه تبدیل میکنیم!
وب گردی
حوادث
بیشتر
ماجرای سرقت 2 کیلو طلای زوج سارق حرفهای از دوست همباشگاهی / پایان تلخ اعتماد به دوست
آشنایی زن و مرد ایرانی در اربیل کردستان و قتل در تهران / دیدم بچه اش خواب است او را کشتم
وزنه بردار متهم به قتل خودش را تسلیم پلیس کرد
تیرباران 5 عضو یک خانواده به دلیل رد خواستگاری / از کودک 7 ماهه تا زن 45 ساله قربانی شدند
صحنه تجاوز وحشیانه 3 مرد به 2 کودک 4 و 5 ساله / هر دو را در آب های بغداد رها کردند + فیلم
لحظه برخورد مرگبار دو اف ای 18؛ نابودی کامل جنگندههای آمریکایی
قصاص پسر جوان به خاطر پرتاب دوست 120 کیلویی از روی صندوق عقب / دوست دختر مقتول سوار خودروی قاتل شده بود!
پایان شوم تماس زن همسایه با کمپ ترک اعتیاد
آخرین تصاویر
عجیب ترین و شگفت انگیزترین معماری های سال ۲۰۱۹
کپهداغ؛ سرزمینی شگفتانگیز با کوهستانهای باشکوه، طبیعت بکر و جاذبههایی دیدنی در مرز زیبایی و تاریخ+ عکس
فرزند بیشتر زندگی بهتر؛ پرجمعیت ترین خانوادهها در میان ستارگان سینمای ایران/ رتبه اول به نوید محمدزاده رسید/ اکبر عبدی، ساعدسهیلی و...
جیم ران: زندگیت رو در 30 روز تغییر بده💪
مروری بر تبریک تولد متفاوت و رفیق گونه احمدرضا عابدزاده برای کریم باقری+عکس/ چه عکسی هم برا تبریک انتخاب کرده
کشف جمجمه و اسکلت زن گمشده در بستر رودخانه / شوهر مطلقه اش قاتل بود
ضیافت نور و رنگ در چیدمان منزل سانیا سالاری بازیگر سریال دلدادگان/قالی ترکمن، بوم نقاشی، کاغذدیواری نوستالژی، خونه مخصوص گربه و...
سورپرایز تولد شهربانو منصوریان با سنگ تمام دوستای صمیمی/ چه دکور و کیک زیبایی😍+عکس
آخرین ویدیو ها
جشن عقد زوج های جان فـدای کشور… ان شاءالله که به برکت این روز عاقبت بخیر بشن…
دکتر انوشه: فرزندان ما آنگونه که ما میخواهیم نمیشوند آنگونه که تاثیر میپذیرند میشوند... + ویدئو
فیلم | ماجرای ترور مهدی رسولی، مداح نوحه حماسی بزن که خوب میزنی چه بود؟
تماشا کنید| خلاقیت مشاغل؛ ابتکار کمنظیر باریستای خیابانی که با کولهپشتی قهوه حرفهای سرو میکند
شکرگزاری صبحگاهی / هر صبح یک نعمت تازه است؛ جملات شکرگزاری که حال دلت را عوض میکند../ شکرگزاری امروز 29 اردیبهشت 1405+ ویدئو
ببیبنید| خسارت سنگین به دانشگاه شهید بهشتی / این ساختمان با خاک یکسان شد + فیلم
تودهنی المیرا شریفیمقدم به مسیح علینژاد: قاتل به صحنه جرم برمیگرده ولی هیچوقت برای مقتول گریه نمیکنه!
علیرام نورایی: 20 سال پیش اروپاییها فکر میکردن ما با شتر اینور و اونور میریم اما الن به لطف تنگه هرمز...+فیلم
هندی حرف زدن مهران غفوریان رو دیدید؟روایت مهران غفوریان از گداهای هندی که از سر و کول آدم ها بالا می رفتند!
آموزش صفر تا صد زبان اسپانیایی؛ درس 36: توصیف ظاهر افراد با 2 فعل tener و llevar
صحبت های پدر گلشیفته فراهانی که به مذاق سلطنت طلبان خوش نیامد! /ساواک همچنان مشغول کار است
تسلط خارق العاده علی دایی در مکالمه به زبان آلمانی+ویدئو/دمت گرم شهریار؛ یک ایران و سربلند کردی
سایر ویدیوها
(ویدئو) حسرت جانسوز بهنوش بختیاری برای یک آرزوی سوخته؛ قرار بود جای دیگری باشم اما بازیگر شدم!
پشت پرده تغییر نکردن طراحی پیراهن تیم ملی از زبانیک مسئول/ فیلم
تماشا کنید| قرآنی که 50 سال شهید موسوی را حفظ کرده بود و روزی که ایشان قرآن را حفظ کرد
حکایت کوتاه ولی خندهدار عبید زاکانی/ بهانه جنجالی برای ندادن اسب سیاه به عاریه/ آخرش غیرمنتظرهست!🤣
خوش و بش صمیمانه حامد کمیلی با حامد بهداد پیر پسر سینمای ایران در مراسم تشییع بهناز نازی +فیلم
فیلم | ماجرای ترور مهدی رسولی، مداح نوحه حماسی بزن که خوب میزنی چه بود؟
ببیبنید| خسارت سنگین به دانشگاه شهید بهشتی / این ساختمان با خاک یکسان شد + فیلم
نگاهی به سالگرد ازدواج باشکوه و صمیمی علیرضا نیکبخت و همسرش مونا خانوم در قصر شاهانهشان+ خلاقیت تحسین برانگیز اوستا قناد تهرانی/ چه قشنگ استایل ست زدن😍
تسلط خارق العاده علی دایی در مکالمه به زبان آلمانی+ویدئو/دمت گرم شهریار؛ یک ایران و سربلند کردی
راز چشمان تو؛ شعرخوانی جگرسوز و خاطرهانگیز مرحوم افشین یداللهی از شعر «من عاشق چشمت شدم» + فیلم
تماشا کنید| خلاقیت مشاغل؛ ابتکار کمنظیر باریستای خیابانی که با کولهپشتی قهوه حرفهای سرو میکند
(ویدئو) مرور یک فداکاری نوستالژیک؛ وقتی دانشآموزان رامبد جوان برای نجات آقای جبلی مقابل خانم دارابی ایستادند!