صفحه اصلی
●
درباره ما
●
English
●
العربية
Tuesday, April 28, 2026
سه شنبه، 08 اردیبهشت 1405
ساعدنیوز
●
درباره ما
●
زبان
فارسی
English
العربية
دسته بندی ها
بستن
جستجو
سیاست
جامعه
حوادث
اقتصاد
ورزش
دانشگاه
موسیقی
هنر و رسانه
علم و فناوری
بازار
مجله خانواده
ویدیو
عکس
خبر با تو
استانها
بهداشت دهان و دندان
11 درمان خانگی مؤثر برای تلخی دهان که فوراً تاثیر میگذارد
علت بوي بد دهان بعد از كشيدن دندان و چند ترفند برای درمان آن
5 دلیل برای زبان سبز رنگ
فواید و مضرات دهانشویه و انواع آن
تاثیر پستانک در بهداشت دهان و دندان کودک چیست؟
زبان یک مرد هندی به دلیل تغییر رژیم غذایی پر از مو شد
پیشگیری از ساییدگی دندان توسط مواد غذایی اسیدی
عوامل محیطی در ایجاد بوی بد دهان کدامند؟
خلال دندان + نکات مهم
مسواک مناسب برای کودکان چه نوع مسواکی است؟
توصیههای عمومی برای انتخاب مسواک مناسب چیست؟
سوالات متداول "چگونه مسواک بزنیم؟"
فواید استفاده از دهانشویه در کودک چیست؟
چه زمانی باید نگران بوی بد دهان کودک باشید؟
درمان های خانگی برای از بین بردن بوی بد دهان کودکان چیست؟
هالیتوسیس چیست؟
درمان های خانگی برای عفونت دندان کشیده شده
حقایقی در مورد آبسه دندان
بهداشت دهان و دندان در دوران ارتودنسی بارداری چگونه است؟
تکنیکهای خاص مسواک زدن برای جلوگیری از لک سفید دندان
رعایت چند نکته ی مهم در مورد استریل کردن مسواک
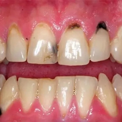
انواع پوسیدگیهای دندان از نظر عمق
کدام دارو ها دندان را خراب میکنند؟
سوالات متداول در مورد دهان شویه ها
مراحل لازم برای داشتن دهان خوشبو
چه نوع خمیر دندانی به زیبایی دندان ها کمک میکند؟
با روش های سنتی دندان ودهان سالم داشته باشید!
9 نکته برای خرید یک خمیردندان عالی
انواع مختلف خمیردندان کدامند؟
5 ویژگی خمیردندان کودکان
رعایت بهداشت دهان شیرخواران
شیر دادن به کودک در خواب چه تاثیری روی دندان هایش دارد؟
بهترین مکان برای نگهداری مسواک
روش صحیح نگهداری از مسواک چیست؟
بدترین مکان ها برای نگهداری مسواک
درمان بوی بد دهان کودکان چگونه صورت می گیرد؟
راز زیبایی دندان های سفید برخی خانم ها در چیست؟
گاهی نخ دندان هم مشکل ساز می شود !
8 نکته ی بسیار مهم در انتخاب خمیر دندان
درمان سریع زخم های دهان با چند روش اعجاب انگیز
معایب و مزایا ی بریج دندان
دندان پوسیده را چطور میتوان تشخیص داد؟
چرا از لثه ی من خون می آید؟
لکه های قهوه ای روی دندان و درمان آن
10 روش برای داشتن دهان خوشبو
بعد از کشیدن دندان عقل چه غذا هایی نخوریم؟
عوارض خوابیدن با دندان مصنوعی چیست؟
دندان مصنوعی چطور تمیز می شود؟
آموزش غذا خوردن با ارتودنسی
ویژگی های متخصص برجسته ارتودنسی
حقایق مرتبط با مراقبت از دندان و لثه
پیشگیری از لکه دار شدن دندانها حین استفاده از بریس
آنچه که لازم است درباره ی فلوراید تراپی بدانیم
علت سیاه شدن دندان ها و راه درمان آن
فلوراید تراپی دندان چیست؟
طریقه و زمان استفاده از نخ دندان چگونه است؟
عوارض و فواید نخ دندان چیست؟
مسواک زدن با نمک خوب است یا بد؟
تعداد دفعات مسواک زدن در یک شبانه روز
8 اشتباه رایج مسواک زدن
صفحه قبل
صفحه بعد
از سراسر وب
توی بحران غرق میشوی یا رشد میکنی؟ ویدیو انگیزشی درباره واکنش به مشکلات
تماشای بازیهای تیم ملی فوتبال با لباس مخصوص بازیکنان در منزل توسط سردار شهید سلامی+فیلم
تغییر چهره هوش پران نیلوفر پارسا، بازیگر سریال کلینیک رویا بعد از زایمان دوقلوهای نازش+عکس
6 رازی که برای یک زندگی زناشویی آرام باید از همسرتان پنهان کنید!
(ویدئو) ویژه علاقهمندان به مستند حیات وحش/ وقتی غریزه و مهر و محبت مادری مُرغ حد و مرز نمیشناسه😍
نگاهی به چیدمان پینترستی جشن تولد یک سالگی پسر بهرام رادان و مینا مختاری با تم خرس قهوه ای+عکس
(ویدیو) نوستالژی فوتبالی؛ سوپرگل زیبای مهدی طارمی به عراق و صعود به جام جهانی 2022
صدای دلنواز و زیبای حامد عسکری رو با یکی از سروده های خودش بشنوید/ مگه میشه این سروده رو بشنوی و اشکت در نیاد!/ در اوّل آسایش مان سقف فرو ریخت، هنگام ثمر دادنمان بود خزان شد+ ویدیو
پیشنهاد ویژه
(ویدئو) طلاییترین درس و مهمترین نصیحت دکتر انوشه برای هر سن و سالی که هیچ روانشناسی بهت نمیگه: «هر چیزی که به قیمت از دست رفتن آرامشت باشه رهاش کن!»
سوال داغ در «صبحانه ایرانی»؛ آخرین وضعیت تیم ملی چه شد؟ ⚽
5 جمله مخرب که هرگز نباید به نوجوان خود بگویید!
آرایش بسیار شیک و خفن نیلوفر شهیدی در سالن زیبایی مریم رهنما خواهر بهاره رهنما
مطالب پیشنهادی
رونمایی از ون سوپرلوکس سردار آزمون؛ ماشین نیست که یک خونه لاکچری فول امکاناته با ps5 +فیلم
بزرگترین یا جالبترین دروغهای تاریخ
نگاهی به چیدمان منزل شاهانه و مجلل «یوسف صیادی»، کمدین نوستالژی/ از مبلمان سلطنتی و فرش اصیل ایرانی تا کابینتهای سفید و تابلوی نقاشی آقای بازیگر
یادی کنیم از جنجال بر سر دختر حسن روحانی/ اصلاً در هیات علمی دانشگاه علوم پزشکی شهید بهشتی عضویت نداشت...
پربازدیدترین ویدئوهای روز
طالعبینی روز؛ دوباره آشتی میکنید یا برای همیشه رفته؟ سکوتش یعنی دلتنگی؛ منتظر نشونهای غیرمنتظره باش...❤
طالعبینی روز؛ پیامی که منتظرشی، این جدایی پایان نبود؛ همین حالا داره با حسرت بهت فکر میکنه؛ بین غرور و عشق گیر کرده❤/ سهشنبه 8 اردیبهشت 1405
ببینید| تمسخر جالب ترامپ توسط سخنگوی دولت را ببینید + ویدیو
کائنات پیام ویژه ای برات داره؛ اگر امروز فقط تونستی نفس بکشی و ادامه بدی، بدون که همین هم یه پیروزیه. همیشه لازم نیست قوی به نظر بیای.../ پیام انگیزشی امروز 7 اردیبهشت 1405+ ویدئو
پیام کائنات امروز برای متولدین هر ماه / اشکالی نداره اگر گاهی احساس سردرگمی کنی، تو گم نشدی… فقط داری به خودِ تازهت تبدیل میشی
کائنات پیام ویژهای برات داره؛ جوری زندگی کن که وقتی به عقب نگاه میکنی، رد پای تلاشت روی لحظهلحظهی زندگیت حک شده باشه/ پیام انگیزشی امروز 8 اردیبهشت 1405
الهام اخوان ثابت کرد یار خوب تمام ماجراست: اوایل زندگی مشترکمه، با همسرم اختلاف داریم ولی امنیتم را مدیون همسرم هستم+فیلم
الهام اخوان خطاب به رضا پهلوی:پاشو برگرد ایران! منم معترضم! خودشو نه ولی پدرشو میشناختم...+فیلم
وب گردی
حوادث
بیشتر
قتل مشکوک دختربچه 9 ساله در سیستان و بلوچستان / ضجههای جگرسوز مادر؛ مردان مسلح او را ربودند تا جنازه سوخته اش پیدا شد
28 کشته و زخمی براثر برخورد یک کامیون به 30 خودرو / ویدئوی لحظه برخورد
قتل فجیع 2 مرد تبریزی بعد از دعوای لفظی در خیابان/ 5 مرد بازداشت شدند
آتشسوزی در کارخانه چسب صوفیان آذربایجان شرقی؛ 14 نفر مصدوم شدند
رسوایی وحشتناک در یک محله؛ کشف دوربین مخفی در حمام همسایه پس از سوراخ شدن دیوار!+ جزئیات
حکم پرونده تعرض وحشیانه دو پسر به دختر همسایه
دخترِ جوان تهرانی در حالت ناگوار تصادف کرد و جان خود را از دست داد!
فیلم پر هیجان 8 دقیقه ای از تعقیب و گریز پلیسی در خیابان های تهران + جزئیات
آخرین تصاویر
قاب تاریخ امروز / عاشقانهای 100 ساله با سلفی خاص یک زوج ژاپنی در سال 1920؛ چقد در زمان خودشون شیک و زیبا بودن
پدیدهای عجیب و نوظهور در صنعت مد / کالکشن محرمی!
بمب خنده در روستای برره؛ پشت صحنه های فوقخندهداری که هرگز از تلویزیون پخش نشد!// سکانسهایی که 100 بار کات خورد تا ضبط شد + ویدئو
حیواناتی عجیب که نمیدانید وجود دارند!
مهران مدیری: این 3 کتاب مسیر زندگی من را عوض کرد / معرفی شاهکارترین رمان های تاریخ از مرگ ایوان ایلیچ تا جان شیفته
نتانیاهو در جشن فارغالتحصیلی از ارتش اسرائیل، سال 1976+عکس
شکست مفتضحانه ترامپ از ستاره ایرانی
نوآوری در کار و کاسبی؛ خلاقیت تاریخی و خندهدار شاگردِ بنا برای جبران کمبود مصالح کار +عکس/ پتروس تویی ما یه عمر اشتباه کردیم😂
آخرین ویدیو ها
طرز تهیه بستنی سنتی کشدار به روش بستنی فروشیهای قدیمی
نکات خانهداری/ نگهداری سبزی خوردن برای مدت طولانی تر|چگونه سبزیجات و میوه را با همان تازگی و کیفیت نگهداری کنیم
طرز تهیه رولت خرما و گردو مقوی و فوق العاده خوشمزه/سه سوته رولت جذابت رو با ما درست کن پشیمون نمیشی+ ویدیو
رمان بامداد خمار قسمت اول؛ شروع داستان سوزناک عشق نافرجام دختری از اعیان دورهٔ قدیم تهران / اثری از فتانه حاجسیدجوادی
آواز پرشور و حال همایون شجریان با معروفترین غزل حافظ شیرازی/ چه اثر جاودانه ای شده، شورانگیز و دلنشین!
شعرخوانی غمانگیز حمیدرضا آذرنگ با اشعار فراموششده درباره خنده؛ شعر به این فاخری را باید قاب گرفت + ویدئو / دوام هر چه به عالم نجیب خندهی تو❤️ ...
جشن عروسی مجلل و باشکوه ایرج، نوذری بازیگر محبوب ایرانی+ عکس عروس خانوم
اشعار عاشقانه دیوان شمس/ من آن دیوانه بندم....؛ غوغای جاودان همایون شجریان با غزل شگفتانگیز مولانا/ شاهکار! چه میکنه یادگار خلف خسروی آواز ایران!
آشپزی سه سوته ؛ طرز تهیه یتیمچه با فوت کوزگری
لامبورگینی هوراکان؛ نسخهی ویژه و کاستوم شده با طرح ایران و پرچم ایران در خیابان های تهران + فیلم
ویژه علاقه مندان به مستند حیات وحش حیوانات/ دانلود یکی از این کلاغها لطفا😍
(ویدئو) مستند حیات وحش حیوانات/ راز بقا، این داستان: نبرد نفسگیر اژدهای کومودو و مار موذی
سایر ویدیوها
سعید عزیزی؛ دخترخانمی میگفت خواستگار رنگ زده گفته اگه مهریه 14 تا سکه باشه بیایم خواستگاری وگرنه شرمنده......
ماندگارترین غزل مولانا با شعرخوانی فراموش نشدنی عبدالجبار کاکایی/ شعر نیست که قصهایست از دلسوختگیهایی که راز زندگی را برملا میکند!+ ویدیو
عاشقی باش که گویند به دریا زد و رفت / غزلسرایی زیبای رشید کاکاوند با حسین منزوی تیری در قلب هر انسان عاشق مینشاند + ویدئو
رمان بامداد خمار قسمت اول؛ شروع داستان سوزناک عشق نافرجام دختری از اعیان دورهٔ قدیم تهران / اثری از فتانه حاجسیدجوادی
شعرخوانی غمانگیز حمیدرضا آذرنگ با اشعار فراموششده درباره خنده؛ شعر به این فاخری را باید قاب گرفت + ویدئو / دوام هر چه به عالم نجیب خندهی تو❤️ ...
مهران مدیری: این 3 کتاب مسیر زندگی من را عوض کرد / معرفی شاهکارترین رمان های تاریخ از مرگ ایوان ایلیچ تا جان شیفته
عشق شمس تبریزی ز بیداری و شبخیزی... مثال ذره گردان پریشانم به جان تو؛ منحصربفردترین غزل مولانا از زبان رشید کاکاوند/ جنون عاشقانهای که مولانا را به اوج کشاند
(ویدئو) مستند حیات وحش حیوانات/ راز بقا، این داستان: نبرد نفسگیر پلنگ و کفتار وحشی
فیلم آموزش طرز تهیه شیرینی زبان خانگی
تعجب دکتر عزیزی و المیرا شریفی مقدم از قانون خانواده یکی از بینندگان/ دیدن این ویدیو برای تمام مادرها ضروریست
انواع شیرینی بدون فر/ آموزش تهیه کلوچههای یلدایی
(ویدئو) مستند حیات وحش حیوانات/ نبرد نفسگیر شیر و خرس